Strict Standards: Only variables should be assigned by reference in /data/wwwroot/model/MysqlModel.class.php on line 103

当前位置:首页 > 健康教育 > 夏天最常见的6种皮疹,教你快速判断!
汗疱疹:多数表现为手掌、指缝对称性长的圆的成簇的小水疱,多伴有瘙痒及灼痛。
那应该如何治疗呢?一是减少刺激,二是可以外用糖皮质激素,具有抗炎作用,抹上几天就没事了。
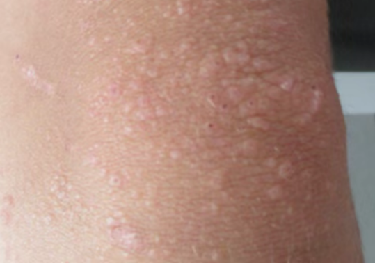
摩擦性苔藓样疹:又叫沙土皮炎,多发生于夏季,好发年龄为2~9 岁,以面部、手臂、膝盖和大腿内外侧,密密麻麻的丘疹和红斑为特征,多伴瘙痒。可以外用糖皮质激素或炉甘石洗剂,还要注意避免暴晒,塑料玩具、沙土刺激及地毯是最常见和主要的外界诱因。
掌掴脸颊综合征(手拍样红斑):是由人类细小病毒B19引起,主要通过呼吸道传播,潜伏期1~2周,易在4~10岁儿童中发生流行。多伴发热、咽痛、呕吐等症状。这个病有自限性,明确诊断后大多数患者只需对症处理及支持治疗,一般预后良好,且感染后具有终生免疫力。
日晒伤性皮炎
日晒伤是皮肤过度暴露于紫外线下产生的急性一过性炎症反应,皮肤反应程度因日晒时间、范围、环境因素及肤色不同而有差异,也与个人的易感性有关。它可能会有一个迟发反应,导致红斑水疱脱屑色沉,还可伴瘙痒灼痛等。所以大家外出日晒强烈的地方一定要注意防晒。
虫咬性皮炎
虫咬性皮炎也叫丘疹性荨麻疹,常在春夏秋季节发病,主要发生于1岁以上的儿童及青少年,尤以学龄期前更为多见,与昆虫叮咬有关。对症处理即可,不要过度搔抓。
供稿:皮肤科
一审:皮肤科
二审:医务处
三审:分管院领导